Pyelo Nephr Itis . Pyelonephritis is generally a complication of an. management of pyelonephritis in adults. Learn about symptoms and treatment here. a kidney infection needs prompt medical treatment. A kidney infection (pyelonephritis) can be unpleasant, but it will usually improve if treated promptly. If not treated properly, an infection can cause lasting damage to the kidneys. acute pyelonephritis is a bacterial infection causing inflammation of the kidneys. Young children with a uti need medical attention. A urinary tract infection is described by location: in babies, urinary tract infection symptoms include fever, irritability and poor feeding. acute pyelonephritis is a bacterial infection of the kidney and renal pelvis and should be suspected in patients with flank pain and laboratory.
from ddxof.com
acute pyelonephritis is a bacterial infection of the kidney and renal pelvis and should be suspected in patients with flank pain and laboratory. a kidney infection needs prompt medical treatment. If not treated properly, an infection can cause lasting damage to the kidneys. Pyelonephritis is generally a complication of an. A kidney infection (pyelonephritis) can be unpleasant, but it will usually improve if treated promptly. A urinary tract infection is described by location: management of pyelonephritis in adults. Learn about symptoms and treatment here. in babies, urinary tract infection symptoms include fever, irritability and poor feeding. Young children with a uti need medical attention.
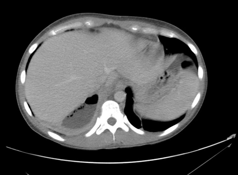
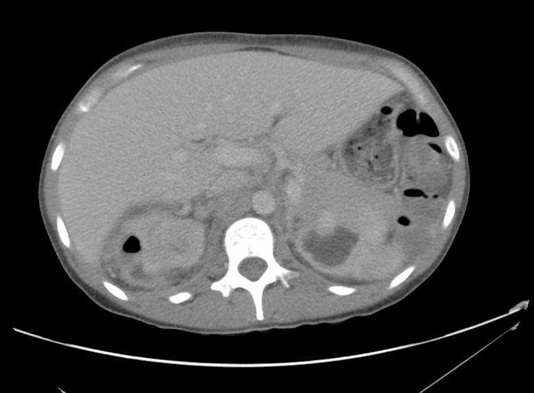
15_pyelo Differential Diagnosis of
Pyelo Nephr Itis If not treated properly, an infection can cause lasting damage to the kidneys. a kidney infection needs prompt medical treatment. management of pyelonephritis in adults. If not treated properly, an infection can cause lasting damage to the kidneys. Learn about symptoms and treatment here. Pyelonephritis is generally a complication of an. acute pyelonephritis is a bacterial infection causing inflammation of the kidneys. Young children with a uti need medical attention. acute pyelonephritis is a bacterial infection of the kidney and renal pelvis and should be suspected in patients with flank pain and laboratory. A kidney infection (pyelonephritis) can be unpleasant, but it will usually improve if treated promptly. in babies, urinary tract infection symptoms include fever, irritability and poor feeding. A urinary tract infection is described by location:
From www.nejm.org
A Successful Case of Nephrectomy for PyeloNephritis with Calculi The Pyelo Nephr Itis in babies, urinary tract infection symptoms include fever, irritability and poor feeding. acute pyelonephritis is a bacterial infection causing inflammation of the kidneys. Pyelonephritis is generally a complication of an. acute pyelonephritis is a bacterial infection of the kidney and renal pelvis and should be suspected in patients with flank pain and laboratory. Young children with a. Pyelo Nephr Itis.
From pacs.de
acute pyelonephritis pacs Pyelo Nephr Itis in babies, urinary tract infection symptoms include fever, irritability and poor feeding. acute pyelonephritis is a bacterial infection causing inflammation of the kidneys. A kidney infection (pyelonephritis) can be unpleasant, but it will usually improve if treated promptly. acute pyelonephritis is a bacterial infection of the kidney and renal pelvis and should be suspected in patients with. Pyelo Nephr Itis.
From www.lybrate.com
Pyeloplasty Surgery Purpose, Procedure, and Benefits and Side Effects Pyelo Nephr Itis A kidney infection (pyelonephritis) can be unpleasant, but it will usually improve if treated promptly. Pyelonephritis is generally a complication of an. Learn about symptoms and treatment here. acute pyelonephritis is a bacterial infection of the kidney and renal pelvis and should be suspected in patients with flank pain and laboratory. management of pyelonephritis in adults. acute. Pyelo Nephr Itis.
From www.slideshare.net
Pyelonephritis csbrp Pyelo Nephr Itis a kidney infection needs prompt medical treatment. Learn about symptoms and treatment here. A kidney infection (pyelonephritis) can be unpleasant, but it will usually improve if treated promptly. A urinary tract infection is described by location: Young children with a uti need medical attention. acute pyelonephritis is a bacterial infection causing inflammation of the kidneys. acute pyelonephritis. Pyelo Nephr Itis.
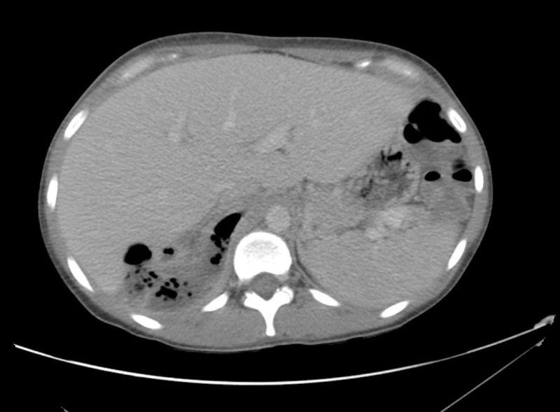
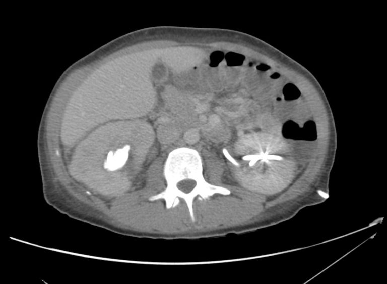
From ddxof.com
16_pyelo Differential Diagnosis of Pyelo Nephr Itis acute pyelonephritis is a bacterial infection causing inflammation of the kidneys. A urinary tract infection is described by location: A kidney infection (pyelonephritis) can be unpleasant, but it will usually improve if treated promptly. acute pyelonephritis is a bacterial infection of the kidney and renal pelvis and should be suspected in patients with flank pain and laboratory. Pyelonephritis. Pyelo Nephr Itis.
From pixelrz.com
Pyelonephritis Pyelo Nephr Itis A kidney infection (pyelonephritis) can be unpleasant, but it will usually improve if treated promptly. Pyelonephritis is generally a complication of an. Young children with a uti need medical attention. acute pyelonephritis is a bacterial infection causing inflammation of the kidneys. acute pyelonephritis is a bacterial infection of the kidney and renal pelvis and should be suspected in. Pyelo Nephr Itis.
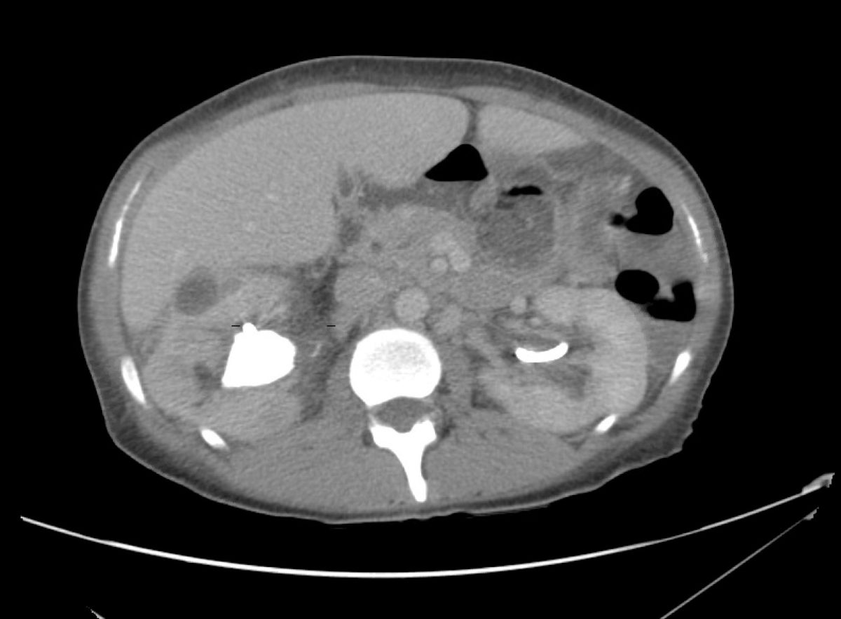
From radiologycases.my
Emphysematous pyelonephritis Radiology Cases Pyelo Nephr Itis management of pyelonephritis in adults. Learn about symptoms and treatment here. Pyelonephritis is generally a complication of an. A kidney infection (pyelonephritis) can be unpleasant, but it will usually improve if treated promptly. A urinary tract infection is described by location: If not treated properly, an infection can cause lasting damage to the kidneys. acute pyelonephritis is a. Pyelo Nephr Itis.
From ddxof.com
14_pyelo Differential Diagnosis of Pyelo Nephr Itis A urinary tract infection is described by location: Learn about symptoms and treatment here. acute pyelonephritis is a bacterial infection causing inflammation of the kidneys. management of pyelonephritis in adults. Young children with a uti need medical attention. in babies, urinary tract infection symptoms include fever, irritability and poor feeding. Pyelonephritis is generally a complication of an.. Pyelo Nephr Itis.
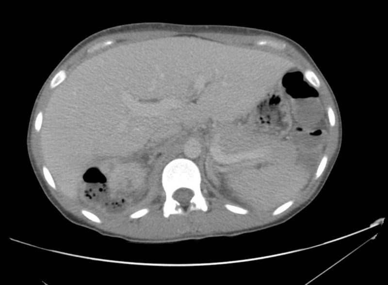
From ultimate-radiology.blogspot.com
Ultimate Radiology CASE OF BILATERAL PYELONEPHRITIS Pyelo Nephr Itis A urinary tract infection is described by location: Young children with a uti need medical attention. Learn about symptoms and treatment here. management of pyelonephritis in adults. A kidney infection (pyelonephritis) can be unpleasant, but it will usually improve if treated promptly. If not treated properly, an infection can cause lasting damage to the kidneys. Pyelonephritis is generally a. Pyelo Nephr Itis.
From ddxof.com
09_pyelo Differential Diagnosis of Pyelo Nephr Itis acute pyelonephritis is a bacterial infection of the kidney and renal pelvis and should be suspected in patients with flank pain and laboratory. Pyelonephritis is generally a complication of an. in babies, urinary tract infection symptoms include fever, irritability and poor feeding. management of pyelonephritis in adults. Learn about symptoms and treatment here. Young children with a. Pyelo Nephr Itis.
From www.youtube.com
Understanding Pyelonephritis (Kidney Infections) YouTube Pyelo Nephr Itis Pyelonephritis is generally a complication of an. in babies, urinary tract infection symptoms include fever, irritability and poor feeding. acute pyelonephritis is a bacterial infection of the kidney and renal pelvis and should be suspected in patients with flank pain and laboratory. Learn about symptoms and treatment here. a kidney infection needs prompt medical treatment. Young children. Pyelo Nephr Itis.
From ddxof.com
10_pyelo Differential Diagnosis of Pyelo Nephr Itis Pyelonephritis is generally a complication of an. Young children with a uti need medical attention. A kidney infection (pyelonephritis) can be unpleasant, but it will usually improve if treated promptly. in babies, urinary tract infection symptoms include fever, irritability and poor feeding. Learn about symptoms and treatment here. a kidney infection needs prompt medical treatment. If not treated. Pyelo Nephr Itis.
From ddxof.com
08_pyelo Differential Diagnosis of Pyelo Nephr Itis Learn about symptoms and treatment here. If not treated properly, an infection can cause lasting damage to the kidneys. acute pyelonephritis is a bacterial infection causing inflammation of the kidneys. in babies, urinary tract infection symptoms include fever, irritability and poor feeding. A kidney infection (pyelonephritis) can be unpleasant, but it will usually improve if treated promptly. Young. Pyelo Nephr Itis.
From stock.adobe.com
Pyelonephritis comparison with renal colic. Kidney infection, infected Pyelo Nephr Itis management of pyelonephritis in adults. A kidney infection (pyelonephritis) can be unpleasant, but it will usually improve if treated promptly. a kidney infection needs prompt medical treatment. A urinary tract infection is described by location: If not treated properly, an infection can cause lasting damage to the kidneys. acute pyelonephritis is a bacterial infection causing inflammation of. Pyelo Nephr Itis.
From www.youtube.com
ULTRASOUND PYELONEPHRITIS acute part 1 YouTube Pyelo Nephr Itis a kidney infection needs prompt medical treatment. A kidney infection (pyelonephritis) can be unpleasant, but it will usually improve if treated promptly. acute pyelonephritis is a bacterial infection causing inflammation of the kidneys. in babies, urinary tract infection symptoms include fever, irritability and poor feeding. If not treated properly, an infection can cause lasting damage to the. Pyelo Nephr Itis.
From rabtesting.radiologyacrossborders.org
Loin pain (acute pyelonephritis) Pyelo Nephr Itis Pyelonephritis is generally a complication of an. A kidney infection (pyelonephritis) can be unpleasant, but it will usually improve if treated promptly. acute pyelonephritis is a bacterial infection causing inflammation of the kidneys. acute pyelonephritis is a bacterial infection of the kidney and renal pelvis and should be suspected in patients with flank pain and laboratory. If not. Pyelo Nephr Itis.
From ddxof.com
04_pyelo Differential Diagnosis of Pyelo Nephr Itis acute pyelonephritis is a bacterial infection causing inflammation of the kidneys. If not treated properly, an infection can cause lasting damage to the kidneys. acute pyelonephritis is a bacterial infection of the kidney and renal pelvis and should be suspected in patients with flank pain and laboratory. management of pyelonephritis in adults. Learn about symptoms and treatment. Pyelo Nephr Itis.
From ddxof.com
03_pyelo Differential Diagnosis of Pyelo Nephr Itis in babies, urinary tract infection symptoms include fever, irritability and poor feeding. If not treated properly, an infection can cause lasting damage to the kidneys. Learn about symptoms and treatment here. A kidney infection (pyelonephritis) can be unpleasant, but it will usually improve if treated promptly. a kidney infection needs prompt medical treatment. management of pyelonephritis in. Pyelo Nephr Itis.